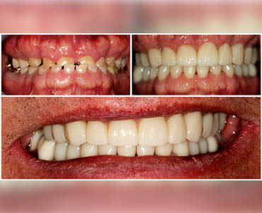
The results of FMR treatment can last you a lifetime. Some aspects of the treatment results may require regular follow-up and maintenance with periodic dental visits. If you are looking to get your smile restored and get back the function of your teeth, visit Dr. Kochar's House of Smiles for FMR treatment in Chandigarh.


